Berikut Beberapa Cara Menghilangkan Karang Gigi
Indonesiaraja.com,Bengkulu- Munculnya karang gigi juga membuat proses menyikat gigi kurang efektif. Akibatnya, sisa makanan terus menumpuk dan mengakibatkan gigi berlubang karena zat asam yang timbul dari bakteri yang ada di dalamnya, Rabu (18/12/2024).
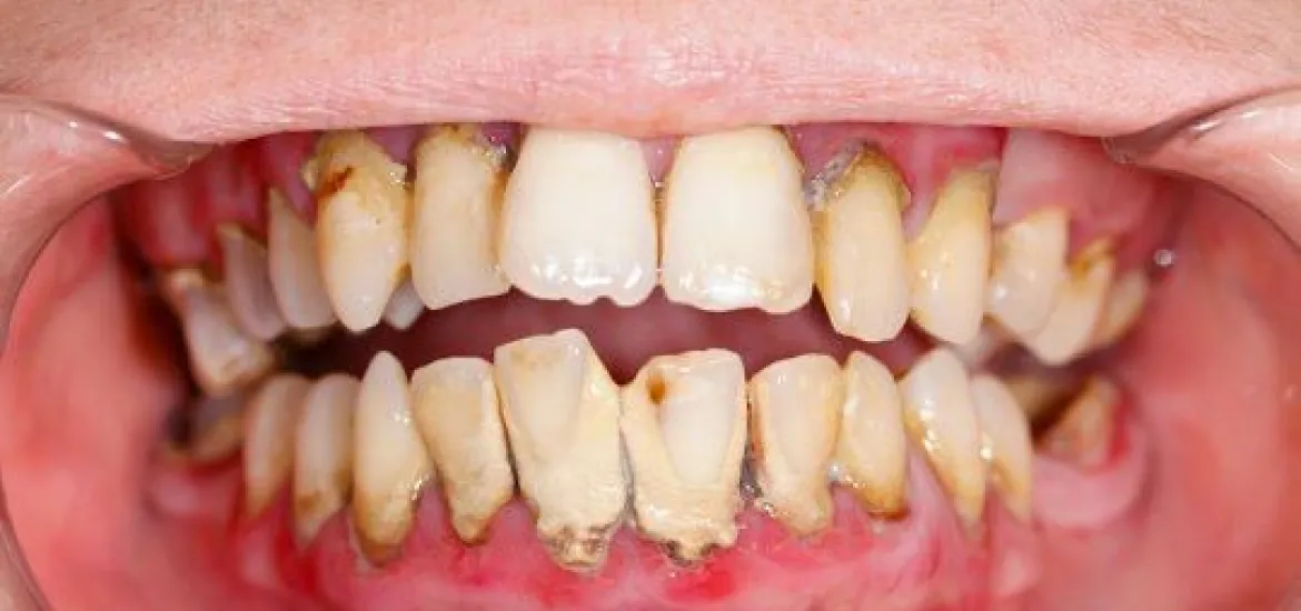
Karang gigi yaitu suatu plak yang mengeras dan menumpuk pada permukaan gigi. Selain mengganggu penampilan, jika kondisi ini dibiarkan tanpa perawatan yang tepat maka akan mengakibatkan peradangan pada gusi dan juga masalah pada gigi.
Berikut beberapa penyebab munculnya karang gigi dan cara menghilangkannya:
1. Penyebab Karang Gigi
Karang gigi (dental calculus) yaitu sebuah lapisan plak kuning kecokelatan yang mengeras yang terdapat pada permukaan gigi. Kondisi ini terbentuk dalam jangka waktu lama sehingga menyebabkan pengendapan sisa-sisa makanan di sela-sela dan permukaan gigi yang sulit dihilangkan begitu saja.
Karena sudah mengeras, maka untuk mengatasinya tidak hanya bisa dilakukan dengan rutin sikat gigi semata, namun juga membutuhkan perawatan khusus yang disebut sebagai scalling. Oleh karena itu, usahakan untuk melakukan perawatan gigi secara rutin dengan menyikat gigi setidaknya 2x dalam sehari.
Apabila kondisi ini terus dibiarkan tanpa mendapatkan perawatan yang tepat, maka dapat mengakibatkan berbagai masalah kesehatan mulut. Contohnya mengakibatkan radang gusi, gigi surut, abses gigi, hingga gigi berlubang.
Faktor Risiko
Karang gigi memiliki risiko yang lebih besar untuk terkena pada seseorang dengan kondisi yaitu, jarang sikat gigi, jarang menggunakan obat kumur, kebiasaan merokok.
Mulut kering
Konsumsi makanan/minuman dengan kadar gula tinggi
Sedang melakukan terapi radiasi
Jarang minum air putih
Konsumsi obat tertentu seperti antihistamin/dekongestan
Jarang memeriksakan diri ke dokter gigi
Plak gigi yang terus menumpuk dan tidak dihilangkan akan mengakibatkan suatu lapisan kerak yang terus mengeras.
Pencegahan Karang Gigi
Karang gigi dapat dicegah dengan melakukan beberapa kondisi berikut ini:
Gosok gigi setidaknya 2x sehari dengan pasta gigi berfluoride
Kumur dengan obat kumur bila perlu
Gunakan dental floss (benang gigi) di sela-sela gigi,
Hindari kebiasaan merokok, Kunjungi dokter gigi rutin setidaknya 6 bulan sekali, Perbanyak asupan buah maupun sayur, Hindari makanan dan minuman tinggi gula
Pengobatan Karang Gigi.
Pengobatan terhadap kondisi ini tidak cukup menggunakan sikat gigi saja, namun membutuhkan perawatan bernama scalling gigi. Yaitu treatment gigi dan mulut dengan alat bernama scaler untuk mengikis kerak keras yang menumpuk.
Penulis : Hanny Try
Editor : Sherly Meviitasari
- 250036 views
