Ternyata, Ini Manfaat Buah Kersen Untuk Kesehatan
Indonesiaraja.com,Bengkulu- Buah Kersen ini banyak manfaat bagi kesehatan dan mudah dijumpai diperka
Indonesiaraja.com,Bengkulu- Buah Kersen ini banyak manfaat bagi kesehatan dan mudah dijumpai diperka
Indonesiaraja.com,Bengkulu- Air lemon telah lama dikenal sebagai minuman yang menyegarkan, namun tid
Indonesiaraja.com,Bekasi- Tumpukan sampah liar yang mencemari Kali Kopeng di Kampung Kedaung, RT 002
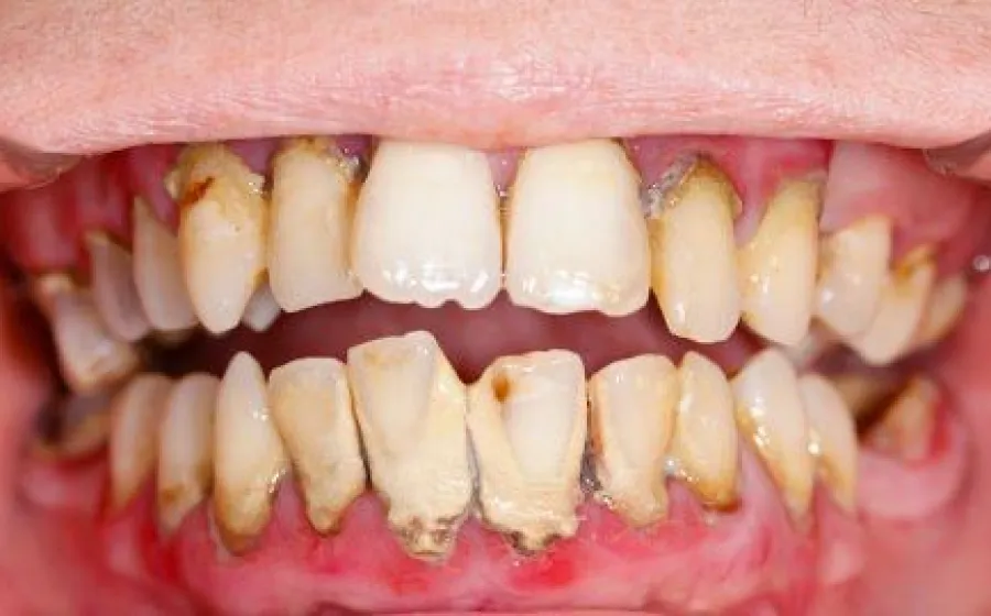
Indonesiaraja.com,Bengkulu- Munculnya karang gigi juga membuat proses menyikat gigi kurang efektif.
Indonesiaraja.com,Bengkulu- Teh merupakan minuman yang baik untuk meningkatkan kesahatan, mulai dari